あと少しを一瞬で削らずに叶える理想の歯
あと少しを一瞬で削らずに叶える理想の歯 韓国で大人気の削らないラミネートベニア
韓国で大人気の削らないラミネートベニア
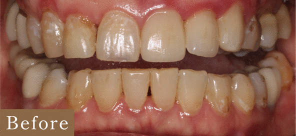
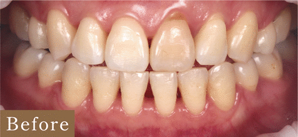
Before After 施術内容:削らないラミネートベニア上8本 下8本 (計16本) 治療期間/回数:2週間 / 2回 治療費用:モニター価格1,408,000円(税込) デンタルローン価格:月額約13,900円
Before After 施術内容:削らないラミネートベニア上8本 下8本 (計16本) 治療期間/回数:2週間 / 2回 治療費用:モニター価格1,408,000円(税込) デンタルローン価格:月額約13,900円
Before After 施術内容:削らないラミネートベニア上8本 下8本 (計16本) 治療期間/回数:2週間 / 2回 治療費用:モニター価格1,408,000円(税込) デンタルローン価格:月額約13,900円
scroll
こんなお悩みありませんか? 紙よりも薄い 世界初0.04mm 人口ダイヤモンド 天然歯の4倍の強度 最短3週間で治療 忙しい人にも安心 透明感のある美しい仕上がり 渡韓の必要がないから気軽に出来る治療 術後の定期検診も東京で出来るから安心
モニターキャンペーン 2年間無料で再製可能!
渋谷院 無料相談を予約 新宿院 無料相談を予約
あなたの理想を叶える 当院の削らないラミネートベニア 鏡を見るたび自信があふれ出す「理想の笑顔」をデザイン。 矯正だけでは届かなかった、色・形・すき間を0.1mm単位で微調整し、仕上げる審美治療。 渡韓も不要、1歯8.8万円。最高峰の「削らない」審美治療を、驚きのプライスで。
次世代の「「削らないラミネートベニア」「守る」と「美しくする」を両立した新しいスタンダード
削らないラミネートベニア ブラックトライアングルの悩み
モニターキャンペーン 2年間無料で再製可能!
渋谷院 無料相談を予約 新宿院 無料相談を予約
Case01 歯の隙間をなんとかしたい 安心して笑える歯にしたい Case02 黄ばんでいる歯を綺麗な美しい白い歯に Case03 前歯の隙間をなんとかしたい 健康的な白い歯を手に入れたい
削らないラミネートベニアであなたの人生に最高の笑顔を
先生のご紹介 理事長 水谷倫康
SNSフォロワー4.3万人。インフルエンサーへの施術多数。渋谷・新宿で選ばれる「歯のプロフェッショナル」 Instagram 経歴・所属
モニターキャンペーン 2年間無料で再製可能!
渋谷院 無料相談を予約 新宿院 無料相談を予約
よくある質問
渋谷院WEB予約 渋谷院電話予約 新宿院WEB予約 新宿院電話予約